Il Forum di DERMACLUB

Benvenuto nel forum di Dermaclub! Qui puoi consultare oltre 40.000 discussioni dedicate alla dermatologia. Se hai una domanda, non esitare a scrivere: il nostro team di dermatologi è a tua disposizione.
ultimo aggiornamento DermaClub Staff 1 anno, 4 mesi fa
2 voci
1 risposta
  • Autore
    Posts
  • #82171
    Whichever-22
    Membro

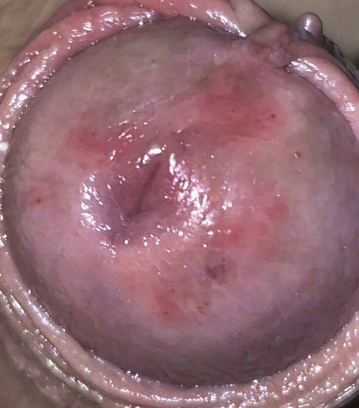
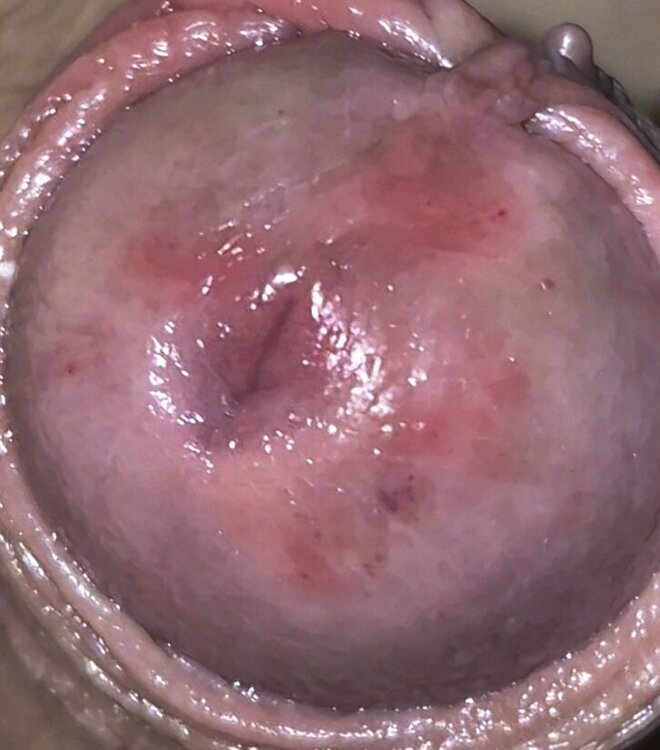
    Salve, sono un ragazzi di 23 anni, e da qualche mese a questa parte noto qualcosa di strano sul mio glande: dalla foto si può notare meglio lo sviluppo di macchie aggressive sulla superficie del grande, specie dopo la masturbazione. Accanto all’uretra, in basso a destra vedo una macchia scura quasi impercettibile, che dopo lo sfregamento diventa ancora più scura e a volte con dei puntini rossi scuro. Ad aggiungersi a ciò, anche alcune chiazze rosse qui e lì. Non pratico attività sessuale con partner da più di due anni.

    Ringrazio in anticipo

    VideoCapture_20241204-015928.jpg

    #82172
    DermaClub Staff
    Amministratore del forum

    Balanite irritativa, evita masturbazione ed applica la sera MOST PEG Unguento per riparare. 

Devi essere loggato per rispondere a questo argomento.